數位工作流程實戰案例 : 當美學貼片遇上口掃機
美學貼片最怕的,不是技術不夠好
如果你曾經為患者製作前牙美學貼片,你一定經歷過那種忐忑不安的時刻。
臨時假牙裝上去,患者照著鏡子,你在旁邊等待評價。她會滿意嗎?顏色對不對?形狀符合她的期待嗎?牙齒長度會不會太長或太短?最終修復體做出來之後,能不能精確複製這個她點頭認可的樣子?
這種不確定感,是美學牙科最大的壓力來源。
你可以是經驗豐富的醫師,你可以有技術精湛的技師夥伴,但只要流程中存在太多「人為判斷」的環節,最終結果就永遠帶著一絲不可預測性。傳統印模可能變形、蠟型可能與患者想像有落差、修磨量可能抓不準、臨時假牙與最終修復體之間可能出現誤差,每一個環節,都是潛在的風險點。
而當這些風險在美學區域發生時代價特別高。患者拒絕接受最終修復體、要求重做、甚至產生醫療糾紛——這些情況,每一位做過前牙美學的醫師大概都不陌生。
問題是,有沒有辦法從根本上降低這種不確定性?
本文出自 : Anterior aesthetic veneers using a digital workflow
Dr. Jonathan L. Ferencz, D.D.S.
數位工作流程的核心價值:讓「所見即所得」成為可能
數位技術進入牙科領域這些年,最根本的改變並不只是效率的提升,而是「可預測性」的大幅增加。
以前牙美學貼片這個領域來說,傳統工作流程的挑戰在於:從初診評估、診斷蠟型、患者確認、牙齒修磨、臨時假牙、到最終修復體,每一個階段之間都存在資訊傳遞的斷層。你用語言描述你的設計想法,技師用他的理解去詮釋,患者用她的想像去期待。三方的認知如果沒有對齊,最終結果就很容易出現落差。
數位工作流程的出現,讓這個問題有了根本性的解決方案。
當你使用口掃機擷取患者的口腔數據,這份數位檔案就成為整個治療流程的「單一事實來源」。技師在 CAD 軟體上進行設計時,看的是同一份數據;患者在螢幕上預覽治療結果時,看的也是同一份數據;你在製作修磨導板、切削臨時假牙、製作最終修復體時,依據的還是同一份數據。
從頭到尾,沒有資訊在傳遞過程中失真,沒有人為詮釋造成的誤差。這就是數位工作流程最核心的價值:讓「所見即所得」從口號變成現實。

實戰案例:一位 70 歲患者的前牙美學重建
讓我們透過一個實際案例,來看看數位工作流程在前牙美學貼片治療中是如何運作的。
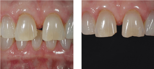
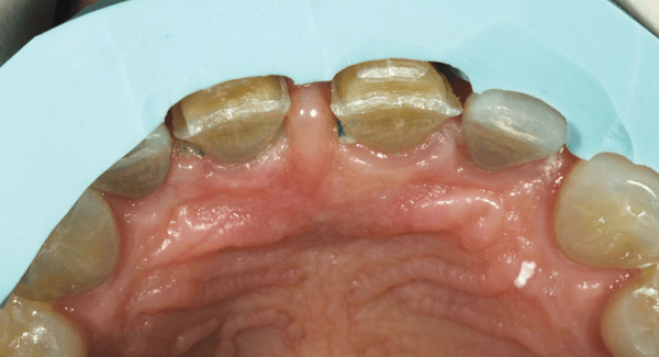
這位患者是一位 70 歲的女性,來診時的主訴是上顎兩顆正中門牙的問題。她的門牙之間存在明顯的牙縫,而且過去為了修補磨耗和切端崩裂所做的複合樹脂修復體已經失敗,需要重新處理。
在傳統工作流程中,這類案例的處理方式大概是這樣:先取傳統印模,送到技工所製作診斷蠟型,等蠟型做好後再請患者回診確認,如果患者有修改意見,就要重新製作蠟型,來來回回可能需要好幾次預約才能確定最終設計方案。
但在這個案例中,我們採用了完全不同的方式。



第一步:數位印模取代傳統印模
初診時,我們使用 3Shape TRIOS 口內掃描機,為患者拍攝了完整的術前口內數位掃描。整個掃描過程只需要幾分鐘,患者不需要忍受傳統印模材料塞在嘴裡的不適感,也不用擔心印模過程中可能產生的氣泡或變形問題。
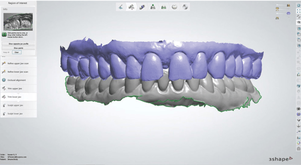
口掃機擷取的數位檔案,精確記錄了患者目前的口腔狀況,包括牙齒的形態、牙齦的輪廓、咬合的關係。這份檔案隨即被傳送到技工所,上傳至 CAD 軟體,作為後續所有設計工作的基礎。
這裡有一個關鍵的觀念值得特別說明:數位印模的價值,不只是「比較舒適」或「比較快速」這麼簡單。更重要的是,它消除了傳統印模在材料處理和加工過程中固有的不準確性。
傳統印模材料會受到溫度、濕度、時間等因素影響,從取模到灌石膏模的過程中,每一個環節都可能引入微小的誤差。這些誤差在一般修復體上可能影響不大,但在講究精密度的美學貼片案例中,卻可能造成肉眼可見的問題。
數位印模跳過了這些變數,讓後續的設計和製作都建立在精確的數據基礎上。
第二步:虛擬診斷蠟型與即時方案比較
傳統流程中,診斷蠟型需要技師手工製作,製作完成後還要等待物流送達,患者才能看到實體的設計提案。如果患者不滿意,整個流程就要重來一次,而數位工作流程徹底改變了這個環節。
當技工所收到我們傳送的數位掃描檔案後,技師使用 CAD 軟體在虛擬環境中進行設計。他可以在螢幕上直接操作患者的 3D 口腔模型,嘗試不同的貼片設計方案,調整牙齒的長度、寬度、形態、排列。
在這個案例中,技師在很短的時間內就提出了兩種設計方案供患者選擇。
第一種方案建議稍微加長牙齒,並製作能夠關閉牙縫的貼片,讓兩顆門牙看起來更飽滿、更年輕。第二種方案則建議保留原有的牙縫,專注於用高美學性的貼片修復兩顆門牙的磨耗和崩裂問題,維持患者既有的微笑特徵。
這兩種方案,患者可以直接在螢幕上看到 3D 的視覺化呈現。她不需要憑空想像「關閉牙縫會是什麼樣子」,也不需要猜測「保留牙縫會不會比較自然」。所有的選項都清清楚楚地呈現在眼前,讓她能夠做出真正符合自己期待的決定。
最後,這位患者表示她對牙縫的美觀問題其實不再那麼在意。她拒絕了加長牙齒和關閉牙縫的方案,選擇了只製作兩顆單獨門牙貼片的設計
這個決策過程,在傳統流程中可能需要好幾週的時間和多次回診才能完成。但在數位工作流程中,幾乎在同一次看診中就能定案。

第三步:從虛擬設計到實體修磨導板
患者確認設計方案之後,下一個關鍵步驟是牙齒的修磨。
前牙美學貼片的修磨是一門精細的藝術。修磨太少,最終貼片的外型會過凸,無法呈現自然的美感,而且為了遮蓋底下支台齒的顏色,可能需要使用遮色力較強的黏著劑,影響最終的透明度和層次感。修磨太多,可能會穿透琺瑯質層,不僅影響貼片的黏著強度,還可能造成患者術後敏感。
在傳統工作流程中,修磨量的拿捏很大程度上依賴醫師的經驗和手感。雖然可以製作修磨導板作為參考,但這個導板是從手工蠟型翻製而來,本身就存在一定的誤差。
數位工作流程提供了更精確的解決方案。
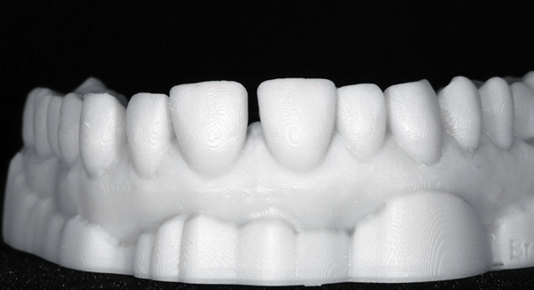
在這個案例中,技工所根據患者批准的虛擬設計,3D 列印出診斷蠟型模型。我們再根據這個精確的 3D 列印模型,製作矽膠修磨導板。這樣一來,修磨導板與最終設計之間的關係是直接對應的,沒有中間的轉譯誤差。
當我們在進行牙齒修磨時,可以隨時用這個導板來確認修磨量是否足夠、是否均勻。修磨完成後,我們再次使用口掃機掃描已修磨的牙齒,將這份數位檔案傳送到技工所,作為製作臨時假牙和最終修復體的依據。



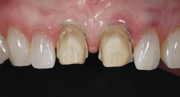
第四步:臨時假牙的即時製作與功能測試
傳統流程中,臨時假牙通常是在診間用臨時材料手工製作,美觀度和精密度都有一定的限制。患者配戴這樣的臨時假牙,有時候很難判斷最終修復體裝上去會是什麼感覺,而數位工作流程讓臨時假牙的製作進入了另一個層次。
在這個案例中,技工所使用 CAD/CAM 技術,完全依照患者批准的虛擬設計,從 PMMA(聚甲基丙烯酸甲酯)材料切削出臨時貼片。這個臨時假牙不是「大概長這樣」的替代品,而是與最終設計完全一致的預覽版本。
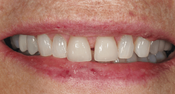
當患者配戴這個臨時假牙時,她看到的、感受到的,就是最終修復體會呈現的樣子。我們請她配戴幾天,測試密合度和功能,確認日常使用上沒有問題。
這個步驟的價值在於:如果臨時假牙有任何問題,我們可以在這個階段發現並調整,而不是等到最終修復體都做好了才發現不對勁。這大幅降低了重製的風險,也讓患者對最終結果更有信心。


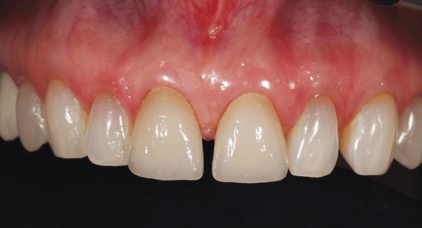
第五步:最終修復體的精確複製
當患者確認臨時假牙的美觀度和功能都沒有問題後,我們就可以自信地進行最終修復體的製作。
這裡有一個數位工作流程的關鍵優勢:製作最終修復體使用的,是與製作臨時假牙完全相同的數位檔案。這意味著最終貼片會精確複製臨時假牙的外型,不會出現「怎麼跟之前看起來不一樣」的情況。
在這個案例中,最終貼片使用 IPS e.max CAD 材料切削而成。這種材料具有優異的美學特性和機械強度,非常適合製作薄型的美學貼片。由於數位設計和切削的精確度,我們可以製作出邊緣厚度只有 0.5mm 的超薄貼片,既保留了足夠的強度,又能呈現自然的透明層次感。
最終黏著當天,我們移除臨時假牙,清潔修磨面,使用雙重固化複合樹脂黏著劑完成貼片的黏著。整個過程非常順利,不需要進行任何調整,因為所有的設計早在虛擬環境中就已經確認完畢。
患者對最終結果非常滿意。她說:「這就是我想要的樣子,跟之前戴的臨時假牙一模一樣。」
這句話,正是數位工作流程最大的價值所在:讓患者的期待與治療結果完美對齊。




數位化如何改變醫病溝通的本質
這個案例還凸顯了數位工作流程在醫病溝通上的革命性改變。
傳統的美學諮詢,醫師必須用語言描述治療計畫,可能輔以一些案例照片作為參考。但每個人的口腔狀況不同,案例照片再多,患者還是很難想像治療後自己會是什麼樣子。這種認知落差,往往是醫病糾紛的根源。
數位工作流程讓溝通變得具體而直觀。
當你可以在螢幕上展示患者自己口腔的 3D 模型,當你可以即時呈現不同設計方案的視覺效果,當患者可以親眼看到「關閉牙縫」和「保留牙縫」兩種選擇分別會是什麼樣子,溝通的效率和品質都會大幅提升。
患者不再需要憑空想像,她可以做出真正知情的決定。而當決定是患者自己做出的,她對最終結果的接受度自然就會更高。這種溝通方式的轉變,不只是讓患者更滿意,也讓醫師更安心。當所有的設計都有視覺化的紀錄,當患者的確認都有明確的依據,潛在的誤解和糾紛就能在源頭被預防。
延伸閱讀 : 區域醫院的牙科數位轉型:小港醫院如何用口掃機重塑醫療流程

數位工作流程仍在進化:未來的可能性
值得一提的是,數位工作流程雖然已經大幅改善了美學貼片的治療流程,但這個領域仍在持續進化。
以這個案例來說,整個流程中唯一的「類比」步驟,是根據 3D 列印模型製作矽膠修磨導板。這個環節雖然已經比傳統流程精確很多,但理論上仍然存在進一步數位化的空間。
未來的發展方向可能包括:直接 3D 列印修磨導板,讓導板與虛擬設計之間完全沒有轉譯誤差;或者在口掃軟體中整合即時比對功能,讓醫師在修磨過程中可以即時看到目前的修磨狀況與虛擬設計之間的差異,確保每一個區域都達到理想的修磨量。
這些技術的發展,將讓數位工作流程的「所見即所得」特性更加完善,進一步降低美學治療中的不確定性。
對你的診所意味著什麼?
如果你的診所正在考慮導入數位工作流程,或者已經有口掃機但還沒有充分發揮它的潛力,這個案例提供了一些值得思考的方向。
首先,口掃機的價值不只是「取代傳統印模」。當你把口掃機視為整個數位生態系的入口,把它與 CAD 設計、3D 列印、CAD/CAM 切削等環節串接起來,產生的效益遠遠超過單一設備的加總。
其次,數位工作流程最大的價值在於可預測性。對於美學牙科這種高度仰賴患者主觀滿意度的領域,能夠在治療開始前就讓患者「看見」最終結果,能夠確保臨時假牙與最終修復體一致,這種可預測性會大幅降低你的執業風險和心理壓力。
第三,數位化的醫病溝通會改變你與患者的關係。當患者能夠充分理解、積極參與治療決策,她對結果的滿意度和信任感都會提升。這不只是單一案例的成功,而是長期口碑和轉介紹的基礎。
消除猜測,擁抱可預測性
回顧這個案例,數位工作流程最核心的貢獻,就是消除了傳統流程中的猜測成分。
從數位印模取代傳統印模,消除材料變形的風險;到虛擬診斷蠟型讓患者即時預覽,消除認知落差的風險;到 CAD/CAM 技術確保臨時假牙與最終修復體一致,消除複製誤差的風險——每一個環節的數位化,都是在為最終結果增加一層確定性。
這種可預測性,對於美學牙科而言特別重要。因為在這個領域,成功與失敗的定義,很大程度上取決於患者的主觀感受。當你能夠精確掌控治療的每一個環節,當最終結果與患者預期完美對齊,滿意度的提升是必然的結果。
如果你還在用傳統流程處理前牙美學案例,或許是時候認真考慮數位化的可能性了。這不只是效率的提升,而是整個執業模式的升級。

延閱讀文章:



