當數位流程遇上全口重建,你如何為診所贏得高價值病患的信任?
在牙醫的執業生涯中,全口重建無疑是檢驗一位醫師技術與心智的終極試金石。面對一位口內狀況支離破碎、舊假牙不堪使用,甚至對看牙充滿恐懼的病患,你所承擔的壓力不僅來自於手術本身,更來自於那些不可控的變數。
試想一下,當你精心規劃好長達半年的治療藍圖,病患手中唯一的臨時假牙卻在治療中途無預警斷裂,原本的計畫瞬間被打亂,這種突發狀況往往是傳統印模流程的夢魘。但在 2026 年的今天,若你的診所配備了如 TRIOS 5 這樣的頂尖數位掃描設備,這場危機反而能成為你展現專業、贏得病患終身信任的轉機。
這篇文章將透過韓國 Mirero 牙醫診所 Jaemin Lee 醫師的真實臨床案例,帶你走過一場從危機到完美的數位重建之旅,並探討這套流程如何成為你診所吸引高質量新病患(NP)的最強利器。
文章轉自:Full mouth rehabilitation with digital workflow

面對殘破不堪的口腔環境
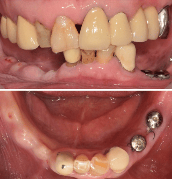
一位長期受牙齒問題困擾的病患走進了診間,他的下顎依賴著一副活動局部假牙維持僅存的咀嚼功能,而右下側的牙橋邊緣已出現繼發性齲齒,多顆牙齒根尖甚至出現病變。對於任何一位經驗豐富的醫師來說,這都是一個棘手的開局。病患渴望植牙,但他提出了一個令許多醫師頭痛的要求:受限於經濟與社交需求,他不願意拔除所有患牙,更不願意在漫長的治療期間經歷無牙的尷尬期。
在數位化介入之前,你可能需要花費大量時間與技工所溝通,反覆進行藻膠印模來確認咬合垂直高度。Jaemin Lee 醫師最初制定了一個穩健的兩階段計畫:先處理左下顎的植牙,保留右側牙橋與 RPD 作為過渡。這是一個合理的打法,透過數位掃描記錄下初始的咬合狀態與軟組織型態,為這場長跑做好了準備。這時,數位檔案就像是一個精準的時空膠囊,完整保存了病患未經破壞前的口腔資訊,這在後續的突發狀況中發揮了決定性的作用。

當臨時假牙斷裂,數位化如何即刻救援?
就在第一階段治療開始五週後,計畫趕不上變化。病患那副原本就脆弱的 RPD 徹底斷裂,且已無法修復。這意味著病患面臨著徹底喪失咀嚼功能的風險,恐懼與焦慮瞬間籠罩了整個醫病關係。在傳統流程中,這通常代表著災難:你需要重新印模、重新製作臨時假牙,甚至被迫推翻原有的手術時程。
但在擁有完整數位工作流的診所裡,這卻是一個展示應變能力的絕佳時刻。Dr. Lee 迅速調整策略,決定提早啟動右側的治療,並大膽採用「導引式手術」搭配「立即受力」。這意味著病患將在手術當天就獲得固定的臨時贋復物,徹底告別活動假牙的夢魘。
要實現這個大膽的計畫,精準度是唯一的依歸。這裡展現了一個極具價值的臨床技巧:在進行 CT 與口內掃描檔案的疊合時,由於病患口內缺乏足夠的自然牙作為特徵點,且金屬假牙在 CT 上會產生散射干擾,Dr. Lee 巧妙地在牙齦上放置了標記物。這些標記物就像是茫茫大海中的燈塔,讓 Implant Studio 軟體能完美地將骨骼資訊與軟組織資訊鎖定在一起。
若是你手邊擁有最新一代的 TRIOS 5,其內建的 AI 智能掃描輔助能更進一步自動過濾掉舌頭與臉頰的動態干擾,讓這類大範圍無牙區的掃描變得如行雲流水般順暢,為後續的手術導板設計提供了零誤差的數據基礎。


延伸閱讀:2026 牙醫診所生存指南:你該如何贏下這場「新病患」爭奪戰?
手術現場:不翻瓣與立即受力的精準演繹
手術當天,數位規劃的價值轉化為實質的臨床紅利。由於術前已透過軟體精確計算了植體位置與角度,Dr. Lee 得以執行不翻瓣手術。手術導板與牙齦的密合度極佳,無需額外的骨釘固定,手術過程安靜、快速且出血量極低。這對於病患來說,不再是一場血淋淋的手術,而是一次精密的醫療體驗。
更令人驚艷的是立即受力的環節。利用術前設計好的檔案,醫師在手術當天就為病患裝戴上了臨時贋復物。這裡有一個值得注意的細節:Dr. Lee 並沒有急著製作最終假牙,而是先利用客製化的鈦金屬基台搭配 PMMA 臨時牙冠。
這並非多此一舉,而是為了在軟組織癒合期,透過客製化基台塑形出完美的穿透輪廓,同時利用這段時間重新建立並確認病患的咬合關係。這種「以時間換取空間」的策略,只有在數位流程能夠快速、低成本地製作臨時贋復物的前提下才得以實現。




全鋯冠的完美落地與 NP 的增長密碼
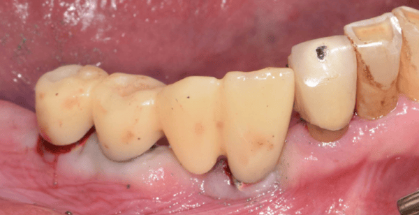
經過兩個月的癒合期,從 X 光片中可以清晰看見,即便經歷了立即受力,植體周圍的邊緣骨依然穩定,毫無吸收跡象。這證明了數位導引手術在分散咬合力上的卓越表現。最終,醫師利用已經確認穩定的咬合記錄,透過數位印模製作了全鋯冠。當最終贋復物裝在病患口中,那種絲毫不差的密合度與無需反覆修磨的順暢感,正是數位全口重建最迷人的終點。


回到診所經營的層面,為什麼這樣的一個案例能幫助你增加更多的高價值新病患(NP)?
在這個資訊透明的時代,高單價的植牙客群在乎的早已不是價格,而是「安全感」與「可預測性」。當你能夠自信地向諮詢全口重建的病患展示:你的診所不使用讓人作嘔的傳統印模材,而是使用像 TRIOS 5 這樣先進的掃描科技;你的手術不需要大範圍翻開牙肉,而是透過電腦導航精準植入;你甚至能在突發狀況下,調出數位檔案即時解決他們的問題——這些具體的技術細節,都將轉化為強大的口碑與信任。
數位化轉型,不單是購買設備,而是思維的升級。它讓你有能力承接像這樣複雜的全口重建案例,將原本可能失控的臨床危機,轉化為一場精準優雅的醫療展演。而這種對完美的堅持與對病患體驗的重視,正是讓你的診所在 2026 年的激烈競爭中,成為高價值 NP 首選的關鍵所在。
延閱讀文章:



